¿SABÍAS QUE LOS CABALLOS
PUEDEN DESARROLLAR
GASTRITIS Y ÚLCERAS GÁSTRICAS?
¿CUÁLES SON LOS SIGNOS (SÍNTOMAS) DE LA GASTRITIS EN CABALLOS?
La gastritis o úlcera gástrica en caballos puede causar signos (síntomas) como la pérdida de apetito, pérdida de peso y cambios de comportamiento como irritabilidad, lo que reduce el rendimiento.
PRINCIPALES CAUSAS DE
LA GASTRITIS EN EQUINOS
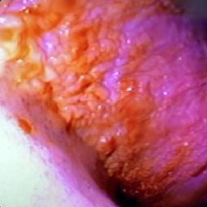
La gastritis en equinos se origina por la irritación e inflamación de la mucosa gástrica, generalmente asociada al estrés, una mala alimentación, el confinamiento prolongado, etc.
¿CUÁNDO DERIVA EN
ÚLCERA GÁSTRICA?
Cuando la irritación e inflamación gástrica en equinos progresa, la mucosa del estómago se erosiona y puede desarrollar una úlcera gástrica o lesión ulcerativa.
0
CABALLOS SIN GASTRITIS
GRACIAS A OZYGASTRIC
JUAN M
Atleta de alto rendimiento
Después de usar Ozygastric® noté el cambio en solo 2 semanas. Mi caballo volvió a comer y mejoró su rendimiento en la pista. Es un tratamiento que realmente funciona."